Om disputationen
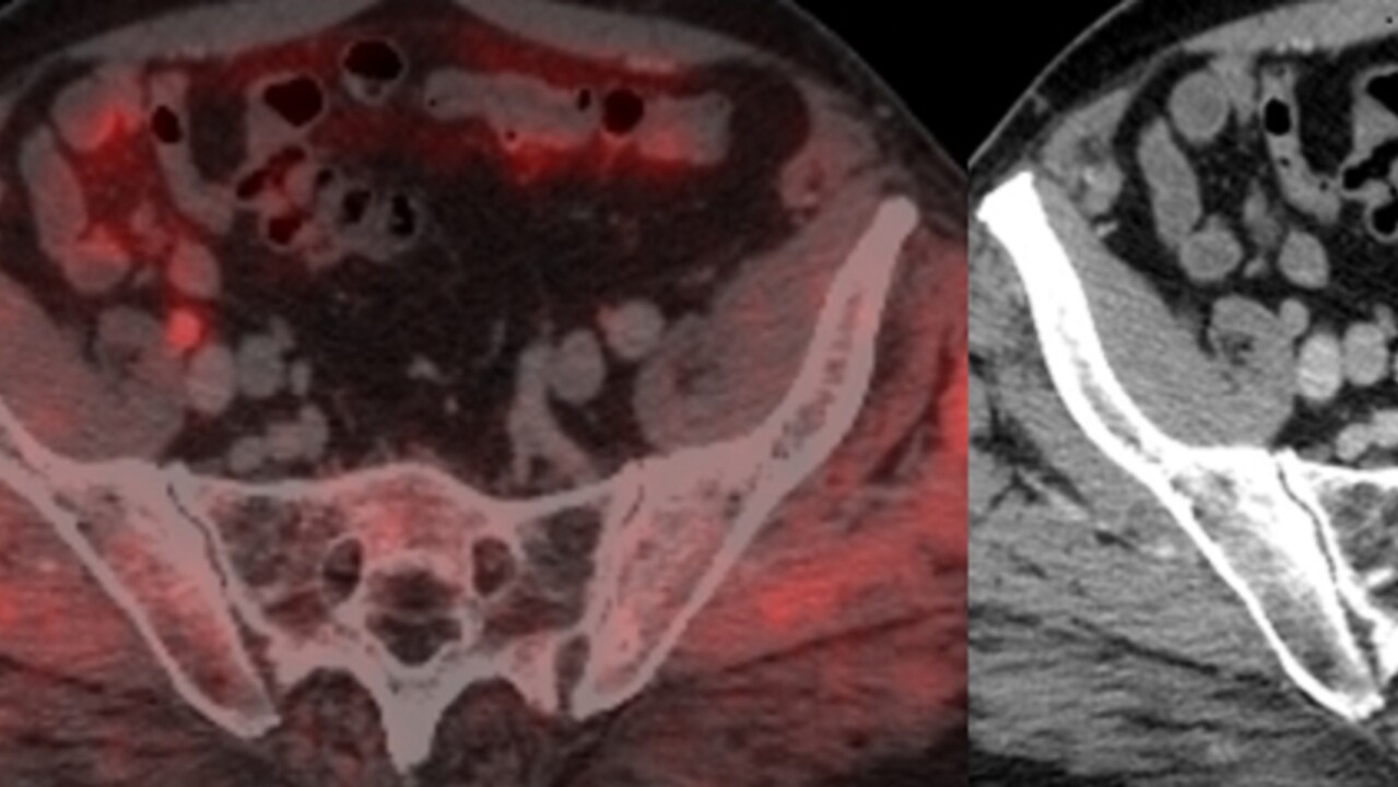
Sara Strandberg, Institutionen för strålningsvetenskaper, försvarar fredag 27 mars kl. 9.00 sin avhandling 11C-acetat-PET/CT vid primär stadieindelning av prostatacancer av högrisktyp.
Fakultetsopponent Jens Sörensen, Uppsala universitet. Huvudhandledare Katrine Riklund. Plats: Triple Helix, Universitetsledningshuset, Umeå universitet.

