Du surfar just nu på en begränsad version av umu.se. Vad innebär det här?

"False"
Hoppa direkt till innehållet
printicon
Huvudmenyn dold.

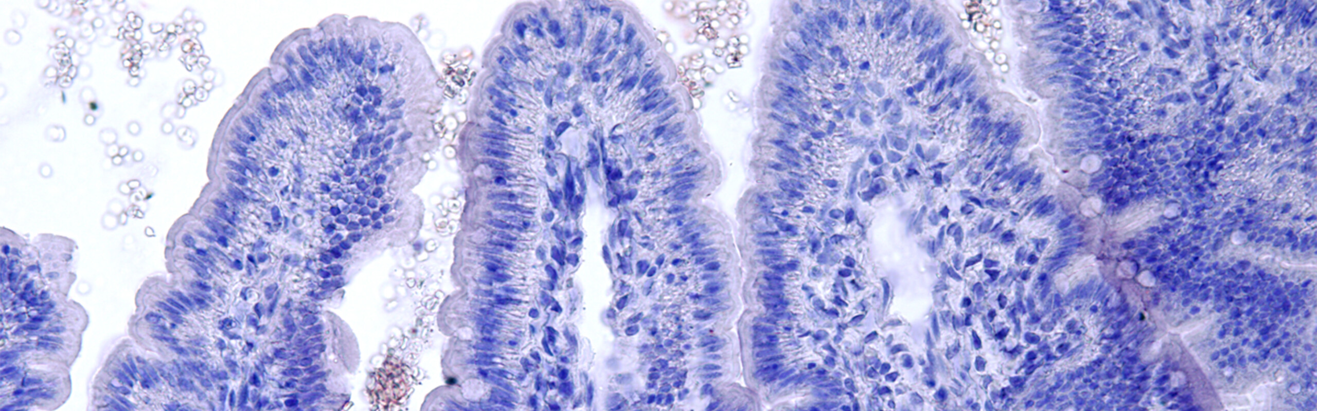
Bild: Andrea Puhar lab

Andrea Puhar lab

Forskargrupp Vi studerar inflammationer orsakade av infektioner.

Andrea Puhar och hennes forskargrupp vid The Laboratory for Molecular Infection Medicine Sweden (MIMS) studerar sambandet mellan inflammation och infektion samt varningsmolekylen ATP.

Man antar att under en infektion att molekyler som produceras av smittoämnen och som normalt inte finns i frisk vävnad, kommer att framkalla en inflammation. Samtidigt antar man att under en sk steril inflammation alltså utan närvaro av patogena organismer finns det kroppens egna faromolekyler som framkallar inflammation.

Ett exempel för en sådant faromolekyl är extracellulär ATP. I en frisk vävnad finns ATP inne i celler men inte utanför. Vid en skada av plasmamembran av en cell eller under stress signaliserar ATP utanför cellen fara och utlöser en inflammatorisk reaktion i vävnaden. Inflammation är en reaktion med vilken den kroppen vill avdöda bakterierna. Men inflammatoriska störningar gynnar i allmänhet utveckling av sjukdomar. Vår målsättning är att få en bättre förståelse av regleringen av inflammatoriska processer för att kunna reglera de under en sjukdom med hjälp av farmkologiska molekyler.

Vi har visat för första gången att kroppens egen farosignal ATP spelar en viktig roll under bakteriell infektion. Vi kunde påvisa att vid en infektion med Shigella flexneri, Salmonella enterica och enteropatogena Escherichia coli (EPEC) utsöndrar tarmens epitelceller ATP som ett tidigt och snappt varningssignal. Vi kunde påvisa att extracellulär ATP provocerar massiv inflammation i tarmen. Vi kunde också visa hur Shigella flexneri reagerar med en snabb utsöndring av molekyler i tarmcellerna som stoppar frisättningen av ATP och tarmcellernas inflammationsreaktion. 

Andrea Puhars forskargrupp undersöker med nyaste teknik de mekanismer som styr inflammation som orsakas av extracellulär ATP. Hennes forskning vill både studera det från värdens perspektiv och från patogena bakteriernas perspektiv. Målsättningen är att hitta nya målmolekyler för anti-inflamatoriska terapier och mot bakterieinfektioner som påverkar kroppens egen frisättning av varningsmolekylen ATP.

Viktig publikation i sammanhanget:
Puhar, A., Tronchere, H., Payrastre, B., Nhieu, G.T., and Sansonetti, P.J. A: Shigella effector dampens inflammation by regulating epithelial release of danger signal ATP through production of the lipid mediator PtdIns5P. Immunity. 2013 Dec 12;39, 1121-1131.

Läs gärna mer om vår forskning på den engelska webbsidan.

Forskningsledare

Andrea Puhar
Gästuniversitetslektor
E-post
E-post
Telefon
090-786 65 42

Översikt

Medverkande institutioner och enheter vid Umeå universitet

Institutionen för molekylärbiologi, Umeå centrum för mikrobiell forskning (UCMR)

Forskningsområde

Infektionsbiologi
50 miljoner kronor till ny forskning inom UCMR

14 projekt med forskningsledare affilierade till UCMR fick anslag av Vetenskapsrådet 2022.

73 miljoner till medicinsk forskning

Vetenskapsrådet tilldelar medicinsk forskning i Umeå 73,1 miljoner kronor 2022.

Immuntest för coronaimmunitet framtaget av forskare i Västerbotten

Forskare i Umeå har utvecklat ett eget test av antikroppar mot coronavirus.

Senast uppdaterad: 2025-07-03