Right now you are surfing a limited version of umu.se. What does this mean?

"False"
Skip to content
printicon
Main menu hidden.

SciLifeLab Site Umeå/KBC Infrastructure Seminar Series

We are running a fortnightly SciLifeLab Site Umeå/KBC Infrastructure Seminar Series. The seminar series will be held in Glasburen KBC, and online attendance is available via Zoom.

Schedule Spring 2026

Time: Wednesdays, 12:00-13:00

Place: Glasburen, KBC, and online via Zoom

Light lunch is offered to registered on-site participants.

February 4 -

February 18 -

March 18 -

April 1 - 

April 15 - "InfraVis - The National Research Infrastructure for Data Visualization. Information about visualization support and collaboration opportunities". Presenters: Maria Podkorytova, InfraVis Node coordinator, Staff scientist at Humlab, UMU, and Evelina Liliequist, InfraVis module leader for infrastructure networking, Associated professor at Humlab, UMU

April 29 -

May 13 - 

May 27 -

June 10 - National Facility for Exposomics, SciLifeLab. Presenter: Stefano Papazian, Head of National Facility for Exposomics, Metabolomics and Exposomics Platform, Science for Life Laboratory, and Department of Environmental Science (ACES), Stockholm University

 

Past Seminars 2025

Solid-state NMR: Molecular insight into complex materials ranging from cancer biopsies to membranes, biopolymers, plants and cells to novel material - 20 May 2025

Presenter: Tobias Sparrman, Staff scientist, NMR core facility, Umeå University

Short description:

What is solid-state NMR and how can that help you?
How does solid state NMR differ from liquid state - strengths and weaknesses?  

An introduction to the national NMR infrastructure at KBC with focus on solids and semi-solids. The basic concept of Magic Angle Spinning and examples on how NMR can be applied to a vast range of complex material e.g. in tissue metabolomics, environment, ecology and archeology, but also to obtain detailed information on biopolymers like spider silk, cellulose, lignin and even membranes, and not least investigate new technical materials with the use of 7Li,19F, 31P, 27Al, 29Si NMR.  

Webpage: NMR Core facility

Cryo-focused ion beam milling (cryo-FIB-SEM): Taking you where you need to go - 6 May 2025

Presenter: Erin Schexnaydre, Staff scientist, Umeå Centre for Electron Microscopy (UCEM), Umeå University

Short description: Cryo-focused ion beam milling (cryo-FIB) is a powerful technique. Its power comes from its versatility to study biological systems in vitro or in situ, i.e. within cells or tissue. It has the ability to reach uncharted regions in biological systems. Cryo-FIB milling is used to expose 100–250 nm thin sections (called lamella) in intact frozen cells and tissue. The process allows access into the cells for high-resolution cryo-electron tomography (cryo-ET) and structure determination of biomolecules in their native environment.

Webpage: Umeå Centre for Electron Microscopy (UCEM)

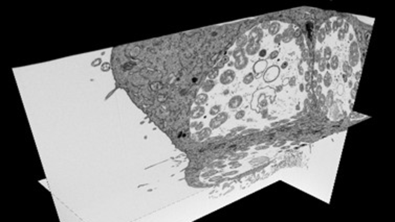
Discover your sample in 3D using volume EM by FIB-SEM - 29 April 2025

Presenter: Sara Henriksson, Staff scientist, Umeå Centre for Electron Microscopy (UCEM), Umeå University

Abstract: FIB-SEM is a conventional scanning electron microscope equipped with a focused ion beam. This beam is destructive which enables shaping of objects inside of the microscope. Such a microscope can act as a knife, removing section by section of a sample. Together with high-quality sample preparation and electron detectors, this facilitates a volumetric view of any given sample at high magnification and resolution. This seminar will describe the method in more detail and give examples of supported projects and applications.

Webpage of Umeå Centre for Electron Microscopy (UCEM)

Beyond the Command Line - HPC2N and the OpenOnDemand Experience - 8 April 2025

 

Title: Beyond the Command Line - HPC2N and the OpenOnDemand Experience 

Presenter: Björn Torkelsson, System engineer at High Performance Computing Centre North (HPC2N)

Abstract: This presentation will provide an update on the latest developments at HPC2N. We will explore recent enhancements in infrastructure, software, and services offered to researchers and users.

A significant portion of the presentation will be dedicated to a live demonstration of OpenOnDemand, a web-based portal that simplifies access and utilization of Kebnekaise, the local UMU HPC resource. We will showcase how OpenOnDemand enables easy execution of applications, data visualization, and job management directly from a web browser, enhancing accessibility and efficiency for users of all levels.

Webpage of High Performance Computing Centre North (HPC2N)

Multimodal Imaging: Optimized Workflows for Improved Efficiency and Precision - 18 February 2025

Date: 18 February 12:00-13:00

Place: Glasburen, KBC and Zoom

Title: Multimodal Imaging: Optimized Workflows for Improved Efficiency and Precision

Presenter: Cecilia Fager, PhD, Electron Microscopy Product and Application Specialist, ZEISS Nordics

Description: As the complexity of scientific questions increases, approaches to address them are developed. One of the recent trends is the use of multimodal imaging where different microscopy techniques are used in combination to generate more detailed insights about a particular specimen. This seminar shows how multimodal imaging can be used to optimize the workflow for improved efficiency and precision.

Link to webpage: https://www.zeiss.se/corporate/home.html

Powder X-ray diffraction in geochemical, environmental, and energy sciences – identifying and quantifying crystalline structures using the MAXS platform - 25 March 2025

 

 

Date: 25 March, 12:00-13:00

Place: Glasburen, KBC, and Zoom

Presenter: Nils Skoglund, MAXS platform manager and Associate Professor at Thermochemical Energy Conversion Laboratory, Department of Applied Physics and Electronics

Target audience: PhD students, post-docs and PI’s working with solid samples related to geology, sediments, environment, or energy sciences.

Platform's webpage: Multi-purpose Adaptive X-ray Scattering platform (MAXS)

 

Past Seminars 2024

3D/4D X-ray Microtomography: Insight into materials critical for the green transition - 21 May 2024

Presenter: Fredrik Forsberg, Senior Lecturer, Luleå University of Technology, Div. Fluid and Experimental Mechanics

Description: A seminar about high-resolution x-ray microtomography (XCT) and how it can be used for 3D/4D material and process characterisation to support the green transition. During the seminar selected applications will be presented from studies at the X-ray Microtomography Lab at LTU (using a Zeiss Xradia 620 Versa XRM) and using synchrotron tomography. For example, studies of modified wood for increased moisture resistance, studies on hydrogen and CO2 storage in porous bedrock, and studies of minerals critical for the green transition. The seminar ends with a look at future possibilities with Dynamic and Spectral XCT - a new XCT system that soon will be available at LTU.

More information about 3D X-ray microtomography at Luleå University of Technology: https://www.ltu.se/en/research/research-subjects/experimental-mechanics/3d-x-ray-microtomography

Overview of Research Data Management services and support available locally and from SciLifeLab - 13 May 2024

The lunch seminar "Overview of Research Data Management services and support available locally and from SciLifeLab" organised during the SciLifeLab Research Data Management Roadshow 2024, Umeå 13-14 May

Date: MONDAY, 13 May, 12:00-13:00

Place: Stora Fokusrummet (KB.G3.01), KBC

Presenters:

Niclas Jareborg, Head of Data Management, NBIS - National Bioinformatics Infrastructure Sweden.

Stephan Nylinder, Data Steward, NBIS

Target group: PhD students, postdocs, researchers and infrastructure staff

Advanced Technologies for Spatial Omics - 7 May 2024

Presenter:

Katarina Tiklova, PhD, Head of the in situ sequencing unit, Science for Life Laboratory

Description: The seminar will present in situ sequencing technology, which is part of SciLifeLab's spatial platform.

The advancements of single cell spatial imaging analysis provided by In Situ Sequencing gives scientists the capability to view their samples with subcellular resolution, by profiling up to 1,000s of targets, each in the context of their spatial localization patterns. This type of analysis enables studies to not only locate and type cells within their biological context, but also address questions about cell–cell communication, profile cellular microenvironments, and identify rare cell infiltration.

More about In Situ Sequencing Infrastructure Unit: https://www.scilifelab.se/units/in-situ-sequencing/

Building capacity to upskill the community: How the SciLifeLab Training Hub can help - 23 April 2024

Presenter: 

Nina Norgren, Training Manager, Umeå University.

Description: Come join us for a session that is all about boosting skills and training the community with the Scilifelab Training Hub. We will be presenting how the Training Hub can support your platform/unit in designing and delivering training to your users. Whether you are just starting out or looking to level up your skills, we have resources and support to help you along the way. Everyone interested in training is welcome!

More about SciLifeLab Training Hub: https://www.scilifelab.se/training/

Visit the new Training Portal to see all our courses and materials: https://training.scilifelab.se/ 

InfraVis, a National Research Infrastructure For Data Visualization - 16 April 2024

Presenters: 

Karin Danielsson, Associate Professor at the Department of Informatics, Director of Humlab, and a member of InfraVis Steering Committee 

Evelina Liliequist, Associate Professor at Humlab, researcher at Centre for Regional Science at Umeå University, and the node coordinator for UmU/Humlab in InfraVis

Description: The seminar will be a presentation of InfraVis, a National Research Infrastructure For Data Visualization funded by VR. InfraVis aims to significantly improve data analysis support, address new challenges involving large and complex data and create competitive advantages for researchers associated with Swedish universities or research institutes.

InfraVis assists individual researchers, research teams and research projects to visualize their research data from any scientific domain. Our definition of the term “visualization” includes all stages of data analysis in the visualization pipeline. Statistics, machine learning, and other tools are a part of the InfraVis arsenal. The data-driven analysis produces results that, through methodical design, have visual representations. These visual representations, when interactive, are visualizations that exploit the extraordinary ability of the human brain to detect, classify, and relate patterns and anomalies visually. InfraVis experts give access to state-of-the-art visualization competence, support, equipment, training, and methods.

We aim for more researchers at UmU to take advantage of the support InfraVis can bring. During the seminar we will explain further the possibilities with the infrastructure, visualization expertise available, and present some examples of InfraVis visualizations.

Link to website: https://infravis.se

Proteomics: everything you ever wanted to know but never dared to ask - 9 April 2024

Presenter: André Mateus, Assistant Professor at the Department of Chemistry, Molecular Infection Medicine Sweden (MIMS), Umeå University

Description: Mass spectrometry-based proteomics enables measuring the individual levels of most proteins in a biological sample. This seminar will cover the basics on how proteomics is done and highlight multiple applications of this technique. It will also cover the most critical steps to enable confident results from proteomics. 

µNordic Single Cell Hub (µNiSCH) - 26 March 2024

Presenter: Kemal Avican, Research fellow at the Department of Molecular Biology, Umeå University

Description: The µNordic Single Cell Hub (µNiSCH) is a developing infrastructure recently granted by Umeå University and headed by Kemal Avican at Department of Molecular Biology. µNiSCH aims to consolidate and increase expertise in single cell biology on both eukaryotic and prokaryotic organisms. The presentation highlights recent developments in single cell biology and outlines the vision of µNiSCH. Additionally, it provides information about methodologies currently available and those under development by µNiSCH and the future usage of the infrastructure.

Contact info: kemal.avican@umu.se

RISE, the Spanish Human Towers and Bioeconomy! - 12 March 2024

Speaker:

Payam Ghiaci

Dr Payam Ghiaci is the Leader of the High-throughput Centre at the Research Institutes of Sweden (RISE) for the unit Processum. Payam is tasked with leading strain development activities as a complementary module to the scale-up activities all centralized at RISE Bioeconomy Arena, Örnsköldsvik Sweden. The Arena is part of the High Coast Innovation Park at the heart of the Swedish forest industry where world class infrastructure with strong local and global network lays the right foundation for innovative bio-centred companies to grow.
Having received his PhD degree at Chalmers University of Technology (Sweden), Payam spent 5 years as a researcher at the University of Gothenburg, European Molecular Biology Laboratory (EMBL, Germany) and the University of Rovira I Virgili (Spain), advancing on high-throughput microbial screening and evolution techniques for industrially relevant phenotypes, especially the food sector. He also has 5 years of entrepreneurial experience in data-driven life sciences products
Contact info.: payam.ghiaci@ri.se

More information about RISE: https://www.ri.se/en/about-rise

More information RISE Processum: https://www.ri.se/en/processum/about-us/rise-processum-ab

Past seminars 2023

Cross-linking and Hydrogen-Deuterium Exchange Mass Spectrometry as a National Infrastructure Service - 30 May

Presenter:

Simon Ekström, Head of Unit, Structural Proteomics, SciLifeLab Integrated Structural Biology platform (ISB), Lund, and Swedish National Infrastructure for Biological Mass Spectrometry (BioMS), Lund University, Lund

Abstract: 

Lotta Happonen1,2,3 and Simon Ekström2,3

1 Division of Infection Medicine, Department of Clinical Sciences, Lund University, Lund, Sweden.
2 Swedish National Infrastructure for Biological Mass Spectrometry (BioMS), Lund University, Lund, Sweden.
3 Structural Proteomics, SciLifeLab Integrated Structural Biology platform (ISB), Lund, Sweden.

Cross-linking (XL-MS) and hydrogen-deuterium exchange mass spectrometry (HDX-MS) are powerful techniques in structural proteomics. XL-MS provides evidence of proteins interacting with each other as well as structural information of individual proteins or protein complexes by specifying (alt - identifying or providing?) distance constraints between two cross-linked peptides. The distance constraints arise from the defined length of the cross-linker used. HDX-MS analysis can be used to obtain information on structure, protein-protein interaction sites, allosteric effects, intrinsic disorder, and conformational changes. HDX-MS takes advantage of the labile nature of the exchangeable protons present on protein backbone amides. When dissolved in solution, proteins exchange these protons with hydrogen groups present in a deuterated buffer The rate of hydrogen to deuterium exchange can be measured by MS, and provides a measure of solvent accessibility and used to infer structural information. Examples from successful user projects will be shown, e.g large scale epitope mapping and XL-MS.

More information about Structural Proteomics, SciLifeLabhttps://www.scilifelab.se/units/structural-proteomics/

More information about Swedish National Infrastructure for Biological Mass Spectrometry (BioMS)https://bioms.se/

NBIS and CASP - feeling lost in data? We are here to help - 16 May 2023

Presenters: 

Jeanette Tångrot, NBIS expert and Senior research engineer at the Department of Molecular Biology

Kate Bennett, CASP platform manager and Research coordinator at the Department of Chemistry

Abstract: The Computational Analytics Support Platform (CASP) is a data analytics service at Umeå University, while the National Bioinformatics Infrastructure Sweden (NBIS) is a distributed national research infrastructure providing bioinformatics support, infrastructure and training. In this seminar, we will describe the different types of services provided by both CASP and NBIS, helping researchers make the most out of their data.

CASP is a co-funded KBC infrastructure that primarily supports, but also trains life scientists in the analysis of experimental data using advanced data-driven tools and strategies. We focus on the analysis of data from a wide range of technologies including, but not limited to, downstream omics (metabolomics/proteomics), spectroscopy and imaging. Since the platform was launched in 2021, CASP has supported multiple researchers across departments and faculties convert complex data into meaningful biological and chemical interpretations.

NBIS is the SciLifeLab bioinformatics platform and the Swedish node in ELIXIR. NBIS has staff at six sites, including Umeå. We provide expertise in most areas of bioinformatics, including omics analysis, genome assembly/annotation, image analysis and biostatistics. We provide weekly online drop-in sessions and free consultation meetings, as well as hands-on project support ranging from assistance with smaller tasks to long-term engagement. We also offer support in data management and systems development, such as tools, pipelines, and interactive websites. In addition, we provide both introductory and advanced training events.

More information about CASP: Homepage

More information about NBIS: Homepage

FIB-SEM - Imaging and Micro-manipulation - 2 May 2023

Presenters:

Cheng Choo (Nikki) Lee, Research Engineer, Umeå Centre for Electron Microscopy (UCEM)

Sara Henriksson, Senior research engineer, Umeå Centre for Electron Microscopy (UCEM)

Abstract: Umeå Centre for Electron Microscopy (UCEM) is an open-access, national facility that provides education and training in electron microscopy techniques for structural and chemical characterization of materials at micro- and nanometer length scale. The facility houses many state-of-the-art instrumentations such as scanning electron microscopes, transmission electron microscopes and focused ion beam microscope.

Focused ion beam-scanning electron beam microscopy (FIB-SEM) is a cutting-edge technology for manipulating materials at sub-micrometer scale with high-precision and high-accuracy at both room- and cryogenic temperatures. By using heavy ions such as gallium, materials can be locally removed and shaped into desired patterns and dimensions. By using electrons, the imaging of the materials removal process and sample surface can be effortlessly achieved.

Together with sophisticated stage positioning, gas injection system and micromanipulator, there are vast applications of the FIB-SEM method, such as preparation of thin sections (lamellae) for transmission electron microscopy (TEM) imaging, fabrication of micro- and nanometer devices and creation high-resolution 3-dimensional reconstructions of materials and biological samples.

More information about the Umeå Centre for Electron Microscopy (UCEM): Homepage

 

Biochemical Imaging Centre Umeå and Biomolecule Characterization Unit. What is new? What is next? - 18 April 2023

Presenters:

Irene Martinez Carrasco, BICU facility manager and Senior research engineer at the Department of Medical Biochemistry and Biophysics, Department of Integrative Medical Biology (IMB)

Johan Olofsson Edlund, Research engineer at the Department of Medical Biochemistry and Biophysics

Fouzia Bano, Senior research engineer at the Department of Clinical Microbiology

Abstract:

During the seminar, we will present the latest news at The Biochemical Imaging Centre Umeå (BICU) and a new emerging facility: The Biomolecule Characterization Unit (BMCU). 

The Biochemical Imaging Centre Umeå (BICU) is an open-access imaging centre that provides state-of-the-art microscopy technology to researchers all over Sweden. We provide access and training to a wide range of instruments and techniques, including widefield, confocal, spinning disc, Tirf microscopy, FLIM, FLIM-FRET, FRAP and super-resolution microscopy on live cells for an optimal spatial and temporal resolution. Furthermore, the centre provides access to atomic force microscopy (AFM) to generate topographical images and measure mechanical properties of samples. 

At The Biomolecule Characterization Unit, we offer a comprehensive suite of cutting-edge technologies to help you gain a deeper understanding of molecular interactions and biomolecular structures. Our platform features state-of-the-art SPR, ITC, CD, and QCMD technologies, which provide complementary information on biomolecular interactions, thermodynamics, kinetics, and structural characterization. 

More information about the infrastructure: Homepage

 

Towards the routine data collection from pico-gram crystals using MicroED - 28 March 2023

Title: Towards the routine data collection from pico-gram crystals using MicroED

Presenter: Johan UngeMicroED core manager and collaborator with the Gonen lab at UCLA, Los Angeles

Abstract: Although electron crystallography has been known almost a century, the current success for organic and biological samples started only a decade ago. The theoretical complications from effects such as for instance dynamical scattering can be largely overcome using continuous rotation as in MicroED or cRED. Today an exponentially growing number of structures are deposited to PDB and CSD from MicroED data collections. The technique has several advantages and is a sample saving addition to the structural biology toolbox. The ability to collect a full data set from crystals 100 nm thick has allowed the structure determination of several proteins from nano sized crystals as well as small molecules directly from powder. The ability to see electrostatic potential as well as hydrogen atoms is useful for many functional studies. Recent experiences, advantages and complications as well as newest developments towards an automatic, accessible and efficient crystal structure determination is presented. 

High Performance Computing Centre North (HPC2N) - 21 March 2023

Title: Are your simulations saturating your PC or do you need more computing power?: HPC2N as an alternative

Presenter: Pedro Ojeda May, Senior research engineer at High Performance Computing Centre North

Abstract: The High Performance Computing Center North (HPC2N) is a local/regional resource for researchers at HPC2N's partners (IRF, LTU, Mittuniversitetet, SLU and UmU). Our Director of HPC2N is Professor Paolo Bientinesi from the Computing Science Department.
We offer different types of hardware for computing and visualization, including standard CPUs and Graphical Processing Units (GPU)s. Most common packages for Scientific Research are installed on our cluster, for instance, GROMACS, VASP, MATLAB, and R/Rstudio, among others.
To get started with our system, we offer different types of training courses, including introductory courses and more specialized courses in topics such as Molecular Dynamics, QM/MM, Git, R, Machine Learning, MPI, Julia, and OpenMP (Recorded courses: https://www.youtube.com/@HPC2N). We provide general support through a ticket system and more advanced support for specific questions from researchers on-demand.
General questions: info@hpc2n.umu.se
Specific questions: support@hpc2n.umu.se
Website: https://www.hpc2n.umu.se/

MAX IV for new users: introduction and updates - 21 February 2023

Presenter: Alexandr Talyzin, Associate professor at the Department of Physics, Umeå University

Title: MAX IV for new users: introduction and updates

Abstract:

The main purpose of my presentation is to encourage more users (physics, chemistry and bioscience) to submit proposals to the MAX IV synchrotron facility. I will provide short summary of available beamlines and access schemes and give some advice related to the preparation of proposals. Some recent research highlights will be used to illustrate the possibilities of MAX IV in all branches of science. The presentation is addressed first of all to new users, but it could be of interest to everybody interested in exploring research possibilities at MAX IV. The next call has a deadline on the 7th of March 2023, and it is now the right time to prepare proposals. Currently, 16 beamlines are opened for standard proposals. Some beamlines are still under construction, and some beamlines are expanding the range of their experimental possibilities with every call. Therefore, it is important to follow updates and learn about current opportunities.

Past Seminars 2022

National support with superresolution light microscopy
22 November 12:00-13:00

Speaker: Hans Blom, Royal Institute of Technology (KTH), Head of the Advanced Light Microscopy (ALM) Unit, SciLifeLab

About Hans Blom: https://www.kth.se/profile/hblom

Title: National support with superresolution light microscopy

More information about the national SciLifeLab facility Integrated Microscopy Technologies: https://www.scilifelab.se/units/integrated-microscopy-technologies/

XPS Platform: Nobel prized technique to study surface and interfaces
25 October 12:00-13:00

Presenter: Andrey Shchukarev, Research fellow at the Department of Chemistry, Umeå University, and manager of the XPS Platform

More information about the infrastructure: Homepage

Seminar description: XPS Platform seminar covers the basics of X-ray Photoelectron Spectroscopy (XPS or ESCA) and focuses on XPS applications to probe real surfaces and interfaces in nature and life.

The Protein Expertise Platform - a Core Facility at the KBC and a node of PPS
18 October 12:00-13:00

Presenter: Uwe Sauer, Associate professor, Platform coordinator. Department of Chemistry, Umeå University

More information about the infrastructure: Homepage

Seminar description: Proteins play a central role for most cellular processes. In order to study such processes, Swedish Life-Science researchers rely on high-quality protein reagents for their research. At the Protein Expertise Platform (PEP) at the Dept. of Chemistry and the KBC, we work with the custom production of recombinant proteins in E. coli and plant cell suspensions. We have teamed up with six other Swedish protein production platforms and, since 2022, are part of Protein Production Sweden (PPS), a national research infrastructure for protein production (www.gu.se/pps) funded by VR and the local Universities. PPS provides expert competence in a variety of expression systems, including E. coli, insect cells, P. pastoris, plant cells and cell-free translation. The PPS nodes collaborate in the form of a national distributed research infrastructure and provide expertise in gene and vector design, production and purification of the proteins, as well as methods for quality control. PPS can also produce proteins with different labels.
Researchers can apply for project support through a common application portal found on the PPS website.

Vibrational Spectroscopy Core Facility - What’s in it for you? 

  • Presenter:
    Andras Gorzsas, Senior research engineer at the Department of Chemistry and ViSp facility manager
  • More information about the ViSp infrastructure: Homepage
  • Date: 3 October 2022

Seminar description: The Vibrational Spectroscopy Core Facility provides in situ, non-destructive, label-free chemical compositional analysis in the form of FTIR and Raman spectroscopy and imaging. It is an open-access facility with many years of experience in a very broad spectrum of research areas, from plant sciences and medicine to environmental and material sciences.

Join this lunch seminar to see some examples of what this facility can provide for your research, ask questions and discuss possibilities. 

A tour to the instruments is available after the seminar for those interested.

Instruments and methods at Umeå Centre for Electron Microscopy (UCEM)

  • Presenter:
    Linda Sandblad, Director of Umeå Centre for Electron Microscopy
  • More information about UCEM: Homepage
  • Date: 6 September 2022

NGS at NGI

  • Presenter:
    Kristina BenevidesProject coordinator, National Genomics Infrastructure (NGI), SciLifeLab, and research engineer in bioinformatics and sequencing, UPSC Bioinformatics Facility, Department of Plant Physiology, Umeå University
  • More information about the National Genomics Infrastructure (NGI): Homepage.
  • Date: 24 May 2022

Seminar description: Got samples? We’ve got the sequencing! NGI is one of the largest platforms at SciLifeLab and provides both established and cutting-edge genomics technologies to diverse user groups across Sweden and internationally. There’s a wide range of applications as NGI is equipped with both short- and long read technologies, as well as SNP genotyping- and DNA methylation arrays. The platform assists users in project design, data generation, analysis and management of data in order to support genomics research in all subject areas.

Prepare for your next (generation) sequencing experiment as we’ll get into the nitty-gritty of some different methods, sample types and requirements.

National NMR Infrastructure at KBC. What can we do for you?

  • Presenters:
    Gerhard Gröbner, Platform Director, Professor, Department of Chemistry, and
    Jürgen Schleucher
    , Platform Director, Professor, Department of Medical Biochemistry and Biophysics
  • More information about the infrastructureHomepage
  • Date: 10 May 2022, 12:00-13:00

Seminar description:
The KBC based central NMR facility provides access to one of the most powerful liquid and solid-state NMR infrastructures in the Nordic countries and expertise for all researchers in the KBC and Campus environment. The facility serves large user groups spanning a remarkably wide range of fields, such as materials science, chemical biology, organic synthesis, structural biology, plant- and environmental sciences, biogeochemistry and medical metabolomics. Local researchers profit strongly from the facility’s status as a national infrastructure and different structural biology facilities and expertise (“Integrated Structure Biology”) at UMU. Fragment-based screening is also offered as national support in collaboration with CBCS/LCBU, including comprehensive substance libraries. The facility is also closely linked to large research initiatives at the campus such as MIMS, UCMP, Bio4Energy, UPSC, the Swedish Metabolomics Center (SMC) and with SLU through collaborations and by offering service.

Activities: if required, a short guided tour to the NMR facility and drop-in discussions with NMR people about potential projects could be organised after the seminar.

Measuring metabolites, the building blocks of biology

The presentation will give an introduction to metabolomics, and small molecule analysis by mass spectrometry. We will present our different services and also give examples of different research projects in which SMC has been involved.

  • Presenter: Annika Johansson, Head of Facility, Swedish Metabolomics Centre, research coordinator at the Department of Plant Physiology, Umeå Plant Science Centre
  • More information about the Swedish Metabolomics Centre (SMC)Homepage
  • Date: 26 April 2022, 12:00-13:00

Unbiased characterization of cells using the single-cell facility

SciLifeLab Site Umeå / KBC Infrastructure Seminar Series presents a seminar by Johan Henriksson, Dept. Molecular Biology / Molecular Infection Medicine Sweden (MIMS), Umeå University. If you want to learn how you can benefit from single-cell analysis, join for 30 min presentation of cases & opportunities, followed by 30 min discussion of practicalities & project design.

  • Presenter:
    Johan Henriksson, Dept. Molecular Biology / Molecular Infection Medicine Sweden (MIMS)
  • Date: 5 April 2022, 12:00-13:00

Fluorescence In Situ Hybridization (FISH) – Advanced Technologies for Single Cell Visualization and Identification

  • Presenter:
    Natuschka Lee
    Research fellow at the Department of Ecology and Environmental Sciences
    More information about the infrastructure: Homepage
  • Date: 29 March 2022, 12:00-13:00

SciLifeLab Site Umeå: Facilities, possibilities and services

  • Presenter:
    Linda Sandblad
    Director of Umeå Centre for Electron Microscopy
  • Date: 15 March 2022, 12:00-13:00
SciLifeLab logo
SciLifeLab Site Umeå

SciLifeLab national site at Umeå (UMU and SLU) is a local site of the national SciLifeLab network.

Latest update: 2025-12-05